Access Super As Payment Option - Currently Available

Patient Before and Afters

See the patients who have already experienced real Life-Changing Dental Implant Transformations!

Patient Before and Afters

See the patients who have already experienced real Life-Changing Dental Implant Transformations!

Are Your Ready To Begin Your Life-Changing Transformation?

The Sydney Dental Implants Clinic, our premier and specialised facility situated in Burwood, Sydney, NSW, serves as the sole centre for our Dental Implant & All-on-4® surgeries. Staffed by our highly skilled and compassionate team, we are committed to delivering superior results in every procedure.

Explore the astonishing transformations of our patients in the before and after gallery below, which highlights the extraordinary changes made possible through our state-of-the-art treatment concept.

Are you considering transforming your smile? Find out if you’re eligible for this transformative treatment today.

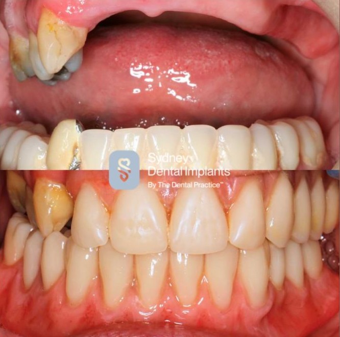
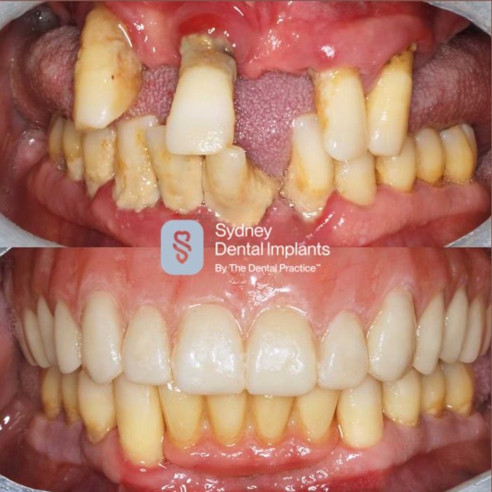
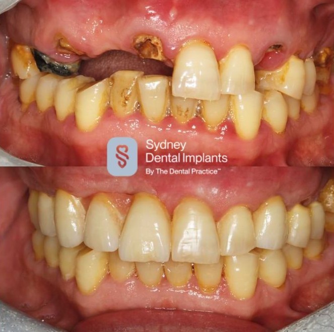
Our Transformation Before and Afters

Patient images are published with consent and are for educational purposes only. Results can vary between individuals, and all dental procedures carry inherent risks. Please consult your dentist to determine which treatment is right for you.

Before

After

Before

After

Before

After

Before

After

Before

After

Before

After

Before

After

Before

After

Before

After

After

After

After

DID YOU KNOW?​

Certain Health Conditions Impact Eligibility! 

To help you begin this journey and determine if you’re a suitable candidate for dental implants, we invite you to take our 60-second eligibility questionnaire.

(Click here to begin)

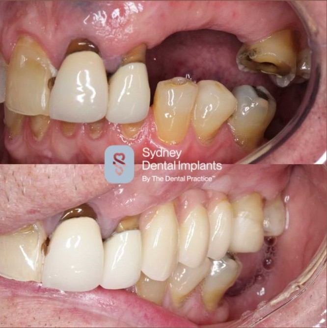
Our Intraoral Before and After Photos

Patient images are published with consent and are for educational purposes only. Results can vary between individuals, and all dental procedures carry inherent risks. Please consult your dentist to determine which treatment is right for you.

DID YOU KNOW?​

Certain Health Conditions Impact Eligibility! 

To help you begin this journey and determine if you’re a suitable candidate for dental implants, we invite you to take our 60-second eligibility questionnaire.

(Click here to begin)

NEW SOUTH WALES OFFICIAL

Early Super Release As a Payment Option?

We’ve teamed up with SuperCare to assist you in accessing your Super funds through the Compassionate Release of Superannuation (CSR) Program, managed by the Australian Taxation Office (ATO).

Sydney Dental Implants Logo

NEW SOUTH WALES OFFICIAL

Frequently Asked Questions

The outcome of dental implants varies depending on individual cases, including factors like oral health, bone density, and overall medical condition. The before and after photos provide an idea of possible transformations, but it’s important to have realistic expectations and understand that each patient’s results are unique.

Suitable candidates for dental implants and All-on-4® typically require good general and oral health. Key factors include adequate bone in the jaw to support the implants, healthy gums, and no significant health conditions that may affect bone healing. Smokers or those with chronic diseases like diabetes may need to be evaluated more closely.

If you wish to receive more information regarding eligibility we invite you to begin the process and assess what kind of outcomes you can expect by taking our 60-second Eligibility Questionnaire.

Almost complete! 47.5%

You’ve taken the 1st step to determine if Dental Implants are right for you!​

Now complete this short 60-Second evaluation to see:

  1. If you are eligible for dental implant treatment
  2. Which treatment would be best for you
  3. General pricing!